Effective Toothbrushing
Image courtesy of Mister GC at FreeDigitalPhotos.netWe all want to have healthy teeth, fresh breath and nice smiles. Gum disease and tooth decay are the two most common oral diseases worldwide. Recent studies have identified links between gum disease and general health such as diabetes and cardiovascular disease and so it has never been more important to look after your teeth. Effective daily oral hygiene is an essential part of your general health and well-being.
Recommended Toothbrushing Technique
A gentle scrub technique with very short horizontal movements to dislodge plaque at the gum margins is effective for most people and is easy to teach and readily accepted. Thus, careful use of a gentle scrub method using a toothbrush with densely packed, round-ended synthetic filaments of soft to medium texture should be encouraged for effective plaque removal. A toothbrush with a small brush head may also be recommended, as a small brush head enables better access to the back of the mouth and to tooth surfaces than a large brush head. While a variety of powered toothbrushes have become increasingly available, only powered toothbrushes with a rotation oscillation action (i.e., brush head moves in one direction and then the other) have been found to be better than manual toothbrushes at removing plaque and reducing gum inflammation, and are no more likely to cause injuries to gums.
Faulty toothbrushing techniques involving excessive pressure may considerably increase gingival recession (i.e., the gum line recedes leading to exposure of the roots of the teeth), and loss of tooth substance by mechanical abrasion, and must therefore be corrected. Holding the toothbrush in a pen grip using just the thumb and forefinger, as opposed to resting the toothbrush in the palm of the hand and gripping with four fingers, results in less pressure being applied when toothbrushing and is recommended.
Effective Toothbrushing Routine
- A gentle scrub technique involving very short horizontal movements is recommended
- Use a soft to medium textured toothbrush
- Hold toothbrush in a pen grip to avoid using excessive pressure
- Spit out fluoride toothpaste and do not rinse after brushing
- Twice a day - at bedtime and in the morning (or at one other time during the day)
Children
1. Parents and carers of children aged 0-2 are encouraged to brush their child's teeth as soon as the first tooth appears, using a soft toothbrush and water only.
2. It is not recommended to use fluoride toothpaste for children aged 0-2 years. (Professional advice on the use of fluoride toothpaste should be considered when a child below 2 years of age is thought to be at high risk of developin dental decay e.g. children with special needs).
3. From age 2-7 years use a small pea size amount of fluoride toothpaste containing 1,000-1,500 ppm F (parts per million Fluoride)
4. Parents/carers of children under the age of 7 should brush their child's teeth until they are able to do so properly themselves. Children should be encouraged to spit and not rinse after brushing so that the effects of fluoride toothpaste are not diluted.
5. Brush twice a day - at bedtime and at one other time during the day
Research shows if a child has dental decay at a young age that they are likely to have dental decay as an adult. We all want to have healthy teeth and nice smiles as adults and this starts with taking care of children's teeth from a young age.
The health benefits of good oral health are immense; getting children actively involved in looking after their oral health from an early age improves both their oral and general health as adults.
This video aims to provide parents and carers of young children with some basic advice on when to start brushing their child's teeth and how to do it. The recommendations are in line with best practice in Ireland 2014. The video was developed by the Happy Teeth programme, UCC.
Aids to Plaque Removal
Plaque removal can be aided with the use of:
- Plaque disclosing agents
- Dental floss and other interdental cleaning aids
- Mouthrinses.
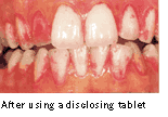
Plaque disclosing agents colour plaque to make it easily visible and are a useful aid for improving plaque control. Plaque disclosing agents should be used after brushing the teeth, to reveal areas where plaque still remains. Plaque disclosing agents will not in themselves remove plaque, but simply direct users to areas that they have missed with their toothbrush.
Dental floss and other interdental cleaning aids are of value if used correctly, which usually requires professional advice and instruction. An additional method of plaque control is the use of antiseptics, of which chlorhexidine is the most effective. Although chlorhexidine is available over the counter in Ireland in the form of mouthrinses and gels, its tendency to stain teeth and impair taste makes its long-term use generally unacceptable. Toothpastes and mouthrinses containing other antiseptic agents, while less effective than chlorhexidine, do not have these side effects and are of some value to gingival health.
Recommended Flossing Technique
- Starting with clean hands, break off about 45 cm (18 inches) of dental floss from its dispenser.
- Wind one end of the floss around a middle finger of one hand. Wrap the other end and most of the floss on the same finger of the other hand, leaving a small length (7 to 10 cm / 3 to 4 inches) stretching between the hands.
- With the floss held tightly between thumb and forefinger or using your interdental flosser, use a gentle sawing motion to guide the floss between adjacent teeth. Take care not to snap the floss against the gums when doing this to avoid injury.
- When the floss reaches the gum line, curve it into a C shape against one tooth and gently slide it into the space between the gum and the tooth.
- With the floss kept tight against the side of the tooth, gently move the floss away from the gum with up and down motions.
- Repeat this scrubbing action to clean plaque off the adjacent tooth.
- If preferred, interdental flossers such as shown in the image may also be used.
- Move the floss back out from between the flossed teeth and repeat this procedure till all teeth have been cleaned.
- As the floss gets frayed or dirty, unwind unused floss from one hand and take up the used slack on the other hand. Wash hands again after flossing.

